何が違うの?
日本の国民健康保険はどなたでも優良な医療サービスを受けることができる、世界でも数少ない制度です。歯科においても虫歯の治療や失われた歯の機能回復など幅広く適用されてきました。一方、みなさんの保険料から成り立つ保険診療ではどうしても口腔内に応用可能な材料や、それら材料による装着物の製作方法に制約もありました。
近年、貴金属価格の高騰に伴い、これまで保険診療で中心的に利用されてきた金銀パラジウム合金の価格も大幅に上昇しています。将来的な安定利用を考慮し、その代替材料の検討が金属以外の材料も含めてなされてきました。

金銀パラジウム合金とは?
歯科用金銀パラジウム合金とは、一般的に「銀歯」や「銀の詰め物」と呼ばれている素材で、「金:12%、パラジウム:20%、銀:約50%、銅:約10%」から組成される合金です。
金属なので強度が高く、また保険診療で使用できる素材なので、歯科用金属として幅広く利用されています。
歯科用金銀パラジウム合金とは、一般的に「銀歯」や「銀の詰め物」と呼ばれている素材で、「金:12%、パラジウム:20%、銀:約50%、銅:約10%」から組成される合金です。
金属なので強度が高く、また保険診療で使用できる素材なので、歯科用金属として幅広く利用されています。
金属アレルギーとは?
アレルギーとは、人間が持つ免疫反応が特定の抗原(免疫反応を引き起こさせる物質)に対して過剰に起こることをいいます。その中でも金属アレルギーは、私たちの生活の中で比較的身近なアレルギーと言えます。
人によって差はありますが、金属が体に触れ続けることで、体に様々な不調や変化が生じます。
アレルギーとは、人間が持つ免疫反応が特定の抗原(免疫反応を引き起こさせる物質)に対して過剰に起こることをいいます。その中でも金属アレルギーは、私たちの生活の中で比較的身近なアレルギーと言えます。
人によって差はありますが、金属が体に触れ続けることで、体に様々な不調や変化が生じます。
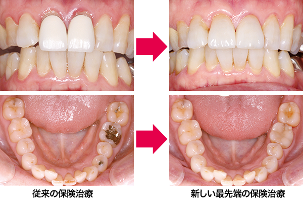
「CAD/CAMコンポジットレジン冠」と「チタン冠」、これら二つの素材はそれぞれが持つ長所を生かし、弱点を補いながら安全で安心、そして審美性や機能性を併せ持つ、全く新しい保険治療を提供します。
治療方法を選ぶと見た目にも大きな変化が!

治療写真提供:上野歯科医院
保険治療で選べる最先端の歯科治療
CAD/CAM冠は「コンポジットレジン」という新素材を使用し、CAD/CAMという機械で削り出して製作される歯科補綴物です。天然歯に近い質感で仕上がりが美しく、また樹脂なので金属アレルギーへのリスクを下げることができます。
チタンは金属の中では比較的新しい材料で、軽くて強靭、そして金属アレルギー発症のリスクが低い金属と言われています。奥歯には全部鋳造で製作した「鋳造チタン冠」、また前歯には鋳造で製作したチタン製の土台に樹脂を貼り付けた「レジン前装鋳造チタン冠」が、保険適用のチタン製歯科補綴物となります。